27/02/2026
常見性病症狀:圖解男女感染後病徵及無症狀率
在當今社會,性觀念逐漸開放,但隨之而來的性健康風險也不容忽視。根據世界衛生組織(WHO)的最新數據,全球每天有超過100萬名15至49歲的成年人感染可治癒的性傳播感染(STI)1。許多人對性病的認識仍停留在刻板印象中,忽略了許多感染是沒有明顯症狀的。
男女常見性病症狀一覽
感染性病後,症狀可能因人而異,且男性和女性的表現往往不同。女性由於生理結構,感染後更容易出現無症狀的情況,導致延誤就醫。

男性常見症狀(按發生率排序)
- 小便灼熱/疼痛:病原體感染導致的急性尿道炎。淋病或非淋菌性尿道炎侵入尿道黏膜,引起炎症,當尿液通過發炎的尿道時,刺激受損神經產生灼熱、疼痛感。
- 尿道分泌物:常見於淋病和衣原體感染。早晨可能發現內褲上有漬痕,尿道口有黃色(如淋病)或白色/透明(如衣原體)的膿性分泌物,有時伴有排尿疼痛或灼熱感。
- 生殖器潰瘍或水疱:
- 疼痛性水疱/潰瘍:多為生殖器疱疹(通常由HSV-2型病毒引起),表現為一簇簇的小水疱,破裂後形成淺表潰瘍,有疼痛感。
- 無痛性潰瘍:多為梅毒(一期硬下疳),通常是單個、圓形、邊緣清晰、底部堅硬且不痛的潰瘍。
- 皮膚凸起粒狀物:尖銳濕疣(菜花)通常表現為生殖器或肛門周圍出現肉色、粉紅色或白色的菜花狀突起,大小不一,通常不痛,但可能搔癢。
- 睪丸腫痛:若淋病或衣原體感染未及時治療,可能併發副睪丸炎,表現為單側睪丸紅腫熱痛,需緊急就醫。
💡 臨床經驗分享:我曾在門診遇到一位26歲男性,因「尿道口流白液」自行購買藥物處理,結果拖延3週才就醫,已發展成雙側副睪丸炎,需住院治療。這正是「忽略初期症狀」的典型例子。

女性常見症狀(常被忽視)
女性因生理結構,感染後更容易無症狀或症狀輕微,導致延誤診斷。
- 陰道分泌物異常:這是最常見但也最容易被忽略的症狀。若分泌物呈現黃綠色、泡沫狀(可能為滴蟲),或有魚腥味(可能為細菌性陰道炎,雖非典型性病但常一同討論),或量突然增多,都應警覺。
- 非經期出血或性交後出血:可能是衣原體或淋病感染導致的子宮頸炎,使得子宮頸變得脆弱易出血。
- 下腹部疼痛:若病原體上行感染,可能引發盆腔炎,表現為持續的下腹痛、性交痛或發燒。這是導致女性不孕的重要原因之一。
- 外陰搔癢與灼熱感:常見於疱疹初期或滴蟲感染。
- 排尿困難與疼痛:雖然類似膀胱炎,但也可能是淋病或衣原體感染的尿道炎症狀。
📌 數據警示:根據台北榮總2023年研究,在接受篩檢的女性中,78%的衣原體感染者無任何症狀。這意味著,若不主動檢查,將無法發現潛藏風險。
深入解析五大常見性病:從數據到治療,一次睇清楚
1. 淋病(Gonorrhea)
由淋病雙球菌引起。
- 男性症狀:約90%的男性會出現明顯的尿道炎,尿道口紅腫,有大量黃綠色膿性分泌物(俗稱「白濁」),排尿劇痛。
- 女性症狀:高達50%的女性感染者無症狀。有症狀者可能出現分泌物增多、排尿疼痛、月經間期出血等。
- 發生率與數據:根據WHO估計,2023年全球15-49歲成年人中,約有8700萬例新發淋病感染。它是第二常見的通報性病。
🔍 臨床實例:一位30歲女性因懷孕篩檢發現淋病,雖無症狀,但已引發輕度盆腔炎。幸運的是,經抗生素治療後痊癒,未影響產程。
2. 衣原體感染(Chlamydia)
由砂眼衣原體引起,常被稱為「無聲的疾病」。
- 男性症狀:可能出現尿道搔癢、透明或白濁分泌物。
- 女性症狀:大多無症狀,少數有分泌物或下腹痛。
- 發生率與數據:這是最常見的通報性病。WHO估計2020年全球新發病例高達1.29億。
為什麼被叫「無聲的疾病」?:超過70%女性、50%男性無症狀。若不篩檢,平均感染時間可長達一年以上,持續傷害生殖系統。
⚠️ 重要提醒:衣原體感染若未治療,可能導致輸卵管堵塞、不孕或宮外孕。
3. 梅毒(Syphilis)
由梅毒螺旋體(Treponema pallidum)引起,病程分為多期。
- 一期症狀:感染後約3週,在接觸部位(生殖器、口腔、肛門)出現單一、無痛、質地堅硬的潰瘍(硬下疳)。即使不治療,潰瘍也會在數週後自行癒合。
- 二期症狀:數週至數月後,可能出現全身症狀,最典型的是手掌和腳掌出現紅棕色、不癢的鱗屑性皮疹,也可能伴隨發燒、淋巴結腫大。
- 潛伏與晚期:若未治療,可能進入長達數十年的潛伏期,最終侵犯心臟、神經系統,造成不可逆損傷。
- 發生率與數據:全球2022年估計有800萬15-49歲成人感染梅毒。近年來在多國(包括美國部分地區)呈上升趨勢。
📈 趨勢觀察:近年來,男男性行為者(MSM)中梅毒盛行率持續攀升,需加強篩檢與教育。
4. 生殖器疱疹(Genital Herpes)
多由第二型單純疱疹病毒(HSV-2)引起,第一型(HSV-1)也可透過口交傳染。
- 臨床病徵:在生殖器、肛門或周圍皮膚出現一群群疼痛性水疱,破裂後形成潰瘍,結痂癒合。初次感染可能伴隨發燒、全身無力。病毒會潛伏在體內,在免疫力下降時復發。
流行病學:全球15-49歲人口中約13%(5.2億人)感染HSV-2,但多數人未診斷,因為症狀輕微或被忽略。
醫生提醒:疱疹傳染可在無症狀時發生(稱為「無症狀病毒脫落」),因此即使沒有水疱,仍可能傳染,全程使用保險套可降低風險。
5. 人類乳突病毒感染與尖銳濕疣
HPV是最常見的病毒性性病。
- 兩大類症狀:
- 感染特定型別(通常是HPV-6、HPV-11型)可能導致尖銳濕疣。外觀上,男性常見於陰莖、陰囊;女性常見於外陰、陰道、子宮頸;也可能出現在口腔或肛門周圍,呈現菜花狀、雞冠狀的突起。
- 其他高危險型別(如第HPV-16、HPV-18型)則與癌症(如子宮頸癌)有關。
- 發生率與數據:全球估計有3億婦女感染HPV1。在臨床統計中,尖銳濕疣常是就診率最高的性病之一。
症狀圖文對照:如何辨識常見病灶?(僅供參考,請勿自我診斷)

為幫助疑惑的你更具體理解,以下根據醫學資料庫描述常見病灶:

1. 男性淋病:尿道口明顯紅腫,並擠出黃色膿液,類似「白濁」現象。
2. 一期梅毒(硬下疳) :陰莖冠狀溝或龜頭處可見一個圓形、邊緣隆起、基底乾淨如軟骨般硬度的潰瘍,按壓不痛。
.jpg)
3. 二期梅毒(手掌皮疹) :手掌出現對稱性的紅銅色、脫屑性斑丘疹,這是非常典型的全身性徵兆。
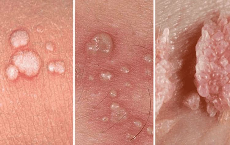
為多發性、表面粗糙、指狀突起的膚色贅生物.jpg)
4. 尖銳濕疣(菜花) :女性外陰或男性肛周出現多發性、表面粗糙、指狀突起的膚色贅生物,融合後宛如菜花。

5. 生殖器疱疹 :陰唇或陰莖包皮上出現成簇的、疼痛的、綠豆大小的透明水疱,周圍基底發紅。
【重要提醒】 本文圖片描述僅供參考,不建議自行診斷。若您或伴侶有類似症狀,請務接受專業醫師診斷。
小心無症狀感染! 無聲的殺手
性病防治最大的敵人之一是「無症狀感染」。
- 女性:之前提及過,約50%的淋病和70-80%的衣原體感染在女性身上是無症狀的3。這使得許多女性在不知情的情況下,感染其性伴侶。並可能發展成盆腔炎,導致輸卵管沾黏不孕。
- 男性:雖然多數男性淋病症狀明顯,但仍有30-40%衣原體感染無症狀,或症狀輕微的情況。
- 研究數據:一項針對孕婦的研究發現,雖然可治癒性病的整體盛行率高達27.6%,但在感染衣原體、淋病或滴蟲的女性中,僅有20.1% 的人出現症狀3。這意味著近80%的感染者若未經篩檢,將被完全忽略。
診斷流程:從症狀到確診
臨床評估:醫師會詳細問診(風險行為、症狀時間),並進行生殖器、皮膚、口腔檢查。
- 實驗室檢測:
- 核酸擴增試驗(NAAT):目前診斷淋病、衣原體的金標準,尿液或拭子樣本,敏感度高。
- 血液檢測:檢測梅毒血清抗體(RPR、TPPA)、疱疹抗體、HIV抗體/抗原。
- 直接鏡檢:分泌物抹片染色,可快速初步診斷淋病、滴蟲。
醫師提醒:切勿自行買藥或使用網路偏方,錯誤用藥可能掩蓋症狀,導致抗藥性或延誤治療。
常見問題 FAQ
Q1:如果完全沒有症狀,還需要篩檢嗎?
A:需要。多數性病在初期甚至全程都可能無症狀,但持續感染會造成不可逆的傷害(如不孕)。尤其有風險行為者,定期篩檢是唯一能及早發現的方法。
Q2:使用保險套就能100%預防所有性病嗎?
A:保險套對預防經由尿道、陰道分泌物傳播的疾病(如HIV、淋病)非常有效,但對疱疹(病灶可能在外陰部未覆蓋處)和HPV(可能經由皮膚接觸)的防護力較低,但仍是最佳的預防工具。
Q3:感染HPV就等於會得癌症嗎?
A:不是。HPV有上百種型別,僅高風險型(如16、18型)與癌症相關,且多數感染會被免疫系統清除。持續感染高風險型才可能導致癌前病變,定期抹片可及早發現處理。
Q4:性病治療後,還會再感染嗎?
A:會。細菌性性病(如淋病、梅毒)治癒後,人體不會產生長期免疫力,若再次暴露於病原體,仍可能重新感染。病毒性感染(如疱疹、HIV)則會終身帶原。
Q5:口交會傳染性病嗎?
A:會。許多性病(如梅毒、淋病、疱疹、HPV)都可透過口交傳染至口腔、咽喉。因此,口交時也建議使用保險套或口交膜。
Reference:
- (10 Sep 2025) Sexually transmitted infections (STIs), WHO
- (25 Mar 2024) About Sexually Transmitted Infections (STIs), CDC
- Shaetonhodi NG, de Voux A, Babalola CM, Joseph Davey D, Mdingi MM, Gigi RMS, Peters RPH, Mukomana F, Klausner JD, Medina-Marino A. Prevalence, symptomology, and correlates of curable sexually transmitted infections among pregnant women in Eastern Cape, South Africa. Int J STD AIDS. 2025 Sep
